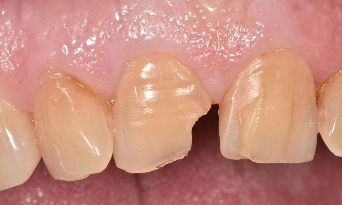
One of our Greeley, CO patients presented with a chipped front tooth. We were able to transform this patient's cracked front tooth and make it look good as new. Contact Norco Family Dental to learn more about our cosmetic dental services.
One of our Greeley, CO patients presented with a chipped front tooth. We were able to transform this patient's cracked front tooth and make it look good as new. Contact Norco Family Dental to learn more about our cosmetic dental services.